| Respiratory Medicine |
Question #13
A 56-year-old man presents for evaluation of dyspnea on exertion. He has a 50 pack-year history of cigarette smoking and was hospitalized 5 years earlier because of severe pneumonia. He has a daily cough without sputum production. The chest is barrel-shaped, with prolonged expiration and diminished breath sounds. Results of pulmonary function testing include the following: FEV1, 2.74 L (55% predicted); FVC, 5.48 L (89% predicted); FEV1/FVC, 50%; TLC, 9.05 L (110% predicted); DLco, 19.73 ml/min/mm Hg (43% predicted). After administration of albuterol, the FEV1 is 2.77 L (56% predicted).
What is the most likely explanation for this patient's dyspnea?
- Asthma
- Bronchiectasis
- Chronic bronchitis
- Emphysema
- Churg-Strauss vasculitis
Answer 1 is
not correct. Answer 4 is correct.
Key Concept: Recognize the pulmonary function test pattern of
emphysema
This patient has a reduced FEV1/FVC ratio and increased TLC, consistent with obstructive lung disease. The most common causes of obstructive lung disease are asthma, chronic bronchitis, and emphysema; bronchiectasis is a less common cause. In emphysema, destruction of the alveolar and capillary beds results in a reduced DLco. In pure form, chronic bronchitis is characterized by chronic sputum production, airflow obstruction, and minimal reduction in DLco. The absence of bronchodilator response and reduced DLco are not consistent with a diagnosis of asthma.
Question #14
A 30-year-old woman is brought to an emergency room for evaluation of a reduced level of consciousness. Arterial blood gases measured while she was breathing room air at sea level are pH, 7.16; Pco2, 70 mm Hg; Po2, 50 mm Hg.
What is the most likely explanation for this patient's hypoxia?
- Diffusion abnormality
- Hypoventilation
- Intrapulmonary shunt
- Ventilation-perfusion mismatch
Answer 1 is
not correct. Answer 2 is correct.
Key Concept: Understand how to use the alveolar gas equation to
distinguish among the causes of hypoxia
This patient's arterial blood gases demonstrate acute respiratory acidosis. The alveolar-arterial oxygen gradient (A-aDo2), calculated using the alveolar gas equation [the Pao2 = Pio2 - (Pao2 x 1.25)], is 12.5 mm Hg, which is a normal result. Among the causes of hypoxia listed, only hypoventilation would not affect the A-aDo2.
Question #15
You are asked to assess a critically ill patient with adult respiratory distress syndrome and multiple organ failure. The blood pressure is 100/70, and heart rate is 100. While the patient is undergoing mechanical ventilation with an inspired oxygen concentration of 60%, the Pao2 is 62 mm Hg (oxygen saturation, 90%). A pulmonary arterial catheter is in place; the pulmonary arterial occlusion pressure is 3 mm Hg, and the cardiac output is 9 L/min (normal, 4-8 L/min). The hematocrit is 26%, and the hemoglobin is 6 g/dl.
Which of the following interventions would be the most effective way to increase tissue oxygen delivery in this patient?
- Transfusion of packed red blood cells to increase hemoglobin to 9 g/dl
- Addition of positive end-expiratory pressure to increase oxygen saturation to 96%
- Dobutamine infusion to increase cardiac output to 10 L/min
- Crystalloid infusion to increase pulmonary arterial occlusion pressure
Answer 1 is
correct.
Key Concept: Understand the principles of systemic oxygen transport
The total amount of oxygen delivered to the systemic circulation is the product of the cardiac output and the arterial content of oxygen per unit of arterial blood (Cao2). The Cao2 is determined by the concentration and characteristics of hemoglobin and the arterial oxygen saturation [Cao22 = Hb (g/dl) x Sao2 (%) x 1.39 ml O2/g Hb]. In this patient, increasing the hemoglobin concentration by 3 g/dl would increase arterial oxygen delivery more than would a 6% rise in oxygen saturation or a 1 L/min increase in cardiac output (with normal cardiac function, dobutamine would be contraindicated). Infusion of crystalloid to raise the pulmonary arterial occlusion pressure to the normal range would be a reasonable intervention but would not be expected to increase the cardiac output significantly.
Question #16
A colleague asks you to interpret the following pulmonary function test results: FEV1, 3.08 L (50% predicted); FEV1/FVC, 85%; TLC, 4.30 L (52% predicted); RV, 1.64 L (75% predicted); DLco, 44.5 ml/min/mm Hg (95% predicted).
Which of the following would you suggest?
- Further workup for pulmonary vascular disease
- Trial of bronchodilators
- Assess chest wall and neuromuscular status
- High-resolution CT scan to evaluate interstitial lung disease
- Ventilation-perfusion scan
Answer 1 is
not correct. Answer 3 is correct.
Key Concept: Recognize the restrictive pulmonary function test pattern
of chest wall and neuromuscular disorders
The pulmonary function test results reveal a symmetrical reduction in FEV1 and TLC, with preserved FEV1/FVC ratio, a restrictive pattern. Restrictive defects can be caused by interstitial lung diseases, chest wall disorders, and neuromuscular disorders. Of the choices given, chest wall and neuromuscular disorders would produce a restrictive pattern with normal DLco. Interstitial lung diseases of sufficient severity to reduce lung volumes by 50% would generally result in destruction of the lung parenchyma and a lower DLco. A normal DLco is not consistent with a diagnosis of pulmonary vascular disease. Bronchodilators would not be indicated in the absence of airflow obstruction.
Question #17
A 45-year-old man presents with dyspnea. Three months earlier he required prolonged endotracheal intubation during treatment for Guillain-Barre syndrome, from which he has otherwise recovered. Fiberoptic bronchoscopy demonstrates tracheal stenosis 5 cm above the carina.
Which of the following flow-volume loop patterns would be expected to result from this complication?
- Normal inspiratory flow rate with reduced expiratory flow rate
- Reduced inspiratory and expiratory flow rates
- Reduced inspiratory flow rate with normal expiratory flow rate
- No effect on inspiratory and expiratory flow rates
Answer 1 is
not correct. Answer 2 is correct.
Key Concept: Understand flow-volume loop patterns
This patient presents with tracheal stenosis, a rare complication of prolonged endotracheal intubation. The result would be a fixed obstruction of airflow during inspiration and expiration. Variable airflow obstruction occurs when the tracheal wall is weak. In such disorders, airflow rates are determined by the location of the tracheal abnormality and the relationship between intraluminal airway pressure and the pressure of the surrounding tissues. In intrathoracic tracheomalacia, expiratory flow is limited because intrathoracic pressure exceeds that within the trachea, the lumen narrows, and flow is obstructed. When the abnormality occurs in the extrathoracic trachea (vocal cord paralysis and extrathoracic tracheomalacia are examples), inspiratory flow is reduced because the pressure within the extrathoracic upper airway during inspiration is less than the surrounding tissue pressure because of the Bernoulli effect.
Question #20
A 65-year-old woman is admitted for treatment of a community-acquired pneumonia. On admission, her respiratory rate is 28.
Which factor may contribute to this patient's dyspnea?
- Hypothermia
- Decreased input from the carotid or aortic bodies
- Rise in cerebrospinal fluid pH
- Activation of pulmonary C fibers
- Fall in arterial Pco2
Answer 1 is
not correct. Answer 4 is correct.
Key Concept: Know the physiologic mechanisms responsible for
ventilatory control
Activation of pulmonary C fibers will produce an increase in the ventilatory drive. These are unmyelinated fibers whose afferent signal travels through the pulmonary branch of the vagus nerves. They are probably responsible for the tachypnea seen with such lung disorders as pulmonary edema, pneumonia, ARDS, and interstitial disease. Hypothermia decreases ventilatory drive by reducing metabolic rate, thereby decreasing production of CO2. This, in turn, will lower arterial Pco2, which will raise cerebrospinal fluid pH. These changes are sensed by chemoreceptors situated on the surface of the medulla, which responds by lowering ventilatory drive. Impulses from the carotid bodies are triggered by decrease in arterial Pco2; these impulses travel via the ninth and tenth cranial nerves to the medullary respiratory centers, where they stimulate increases in tidal volume and breathing rate.
Question #21
A 70-year-old man is admitted to your service for exacerbation of his congestive heart failure. His other past medical history is significant for end-stage renal disease secondary to diabetes, now requiring hemodialysis. On rounds the day after admission, he is somnolent with a breathing pattern that steadily increases and then decreases in size in a smooth crescendo-decrescendo pattern, followed by apneas.
This patient's respiratory pattern would NOT be seen in which of the following conditions?
- Severe congestive heart failure
- Hypoxia
- Hemodialysis
- Sleep
- Pontine hemorrhage
Answer 1 is
not correct. Answer 5 is correct.
Key Concept: Recognize and understand the pathophysiology of Cheyne-Stokes
breathing
Cheyne-Stokes breathing can be seen with lesions deep in the cerebral hemispheres and basal ganglia (such as infarctions or hypertensive encephalopathy), not pontine lesions, which produce apneustic breathing. Other than these CNS structural causes, Cheyne-Stokes breathing is produced by alteration in CO2 homeostasis, usually hypocapnia. Hypoxia (caused by high altitude, as well as other conditions) stimulates the respiratory drive, lowering Pco2, thereby lowering the respiratory drive. Overshooting then results in hypoxia, setting up an oscillating pattern. Congestive heart failure produces the same oscillation, thought to be caused by the delay in circulatory time from the pulmonary capillaries to chemoreceptor sites. A ventilatory disturbance may initiate an appropriate change in ventilation from the controller, but because of the long circulation time, the alterations in Paco2 and Pao2 caused by this change in ventilation will not be sensed by chemoreceptor sites until an overcompensation by the breathing apparatus has occurred. Then, a change in ventilation in the opposite direction occurs, again with overshoot, and an oscillating breathing pattern is established. Hemodialysis can cause the same problem by removing CO2 sufficiently to lower the Paco2, thus depressing rhythmic activity of medullary respiratory neurons, producing apneas and periodic breathing.
Question #22
A 60-year-old woman presents for evaluation of excessive daytime sleepiness. She reports that she has always snored and that her husband has begun to notice increased sleep movements and times when she stops breathing. Her tiredness has increased to the point that she is falling asleep at her desk. Her habits are remarkable for three to four alcoholic drinks per night. On physical exam, you note obesity, hypertension, a "crowded" posterior pharynx, bibasilar inspiratory rales, and dependent edema.
What is the next most appropriate diagnostic test for this patient?
- Echocardiogram
- Chest x-ray
- Home nocturnal oxygen saturation monitoring
- Full polysomnographic tests in a sleep laboratory
- Thyroid stimulating hormone
Answer 1 is
not correct. Answer 4 is correct.
Key Concept: Recognize and order the appropriate diagnostic test for
obstructive sleep apnea syndrome (OSAS)
Several features of this case suggest OSAS. During sleep, there is a decrease in tone in the upper airway that, combined with recumbency, results in collapse of the upper airway with partial or total obstruction; partial obstruction may become total when inspiratory effort produces suction that collapses the airway. Increased tonic activity of the pharyngeal muscles may try to compensate for this, but it is ineffectual in people with OSAS. Although OSAS tends to affect more men than women, with an estimated 24% of men and 9% of women affected, the prevalence among women goes up after menopause. Alcohol exaggerates relaxation of the upper airway muscles, worsening the obstruction. Obesity may contribute to the problem because of deposition of fatty tissue along the walls of the hypopharynx, as may structural abnormalities such as midface hypoplasia, micrognathia or retrognathia, macroglossia, nasal obstruction, and enlargement of the tonsils or adenoids (though in most adults these are not present). The best diagnostic test is full polysomnography in a sleep lab. Home nocturnal oxygen saturation monitoring with evidence of desaturation may suggest the diagnosis but is not confirmatory.
Question #23
For the patient in Question 22, you proceed with full polysomnographic tests in a sleep laboratory, which demonstrate repetitive episodes of desaturation, frequent apneas, and sleep disruptions occurring 60 to 70 times per hour; the diagnosis of OSAS is made. Potential consequences of this condition include which of the following?
- Increased risk of automobile accidents
- Hypertension
- Ischemic heart disease
- Right-sided heart failure
- All of the above
Answer 1 is
not correct. Answer 5 is correct.
Key Concept: Know the consequences of OSAS
OSAS produces myriad health problems. People with this diagnosis carry a sevenfold increased risk of automobile accidents, largely resulting from somnolence caused by sleep disruptions from frequent apneas (though the frequency of sleep disruptions correlates only loosely with the degree of somnolence). Physicians should inform patients of this increased risk and may be required to report patients who go untreated. Hypertension is brought on by increased catecholamine release, induced by frequent hypoxic events. Ischemic heart disease is promoted by hypertension (as above), elevation in serum lipids and catecholamines, and heightened platelet activation, all of which can be seen in moderate to severe OSAS. Nocturnal hypoxemia and hypercapnia cause pulmonary arterial vasoconstriction that increases pulmonary pressures and can lead to right-sided heart failure.
Question #24
What is the most effective therapy for the patient in Question 22?
- Weight loss
- Nocturnal continuous positive airway pressure (CPAP) by nasal mask
- Medroxyprogesterone
- Uvulopalatopharyngoplasty
- Acetazolamide
Answer 1 is
not correct. Answer 2 is correct.
Key Concept: Know the treatments for OSAS
Nasal CPAP is the most effective and frequently applied therapy for OSAS. It provides a pneumatic splint that prevents inspiratory collapse of the upper airway during all phases of sleep when the patient is in the supine position. The therapeutic results are often dramatic, with prompt resolution of fragmented sleep and daytime sleepiness. Many of the sequelae of OSAS are reversible as well. However, it is effective only when used regularly, and some patients have difficulty with compliance. Weight loss is an important adjunct in the treatment of OSAS, but long-term weight reduction is usually difficult to maintain. Medroxyprogesterone can be effective in nonobstructive sleep apnea, but it is a second-line therapy for OSAS and should be reserved for patients who do not respond to nocturnal CPAP. Acetazolamide can prevent hypocapnia-induced apnea, but there are no data on its long-term efficacy. Surgical therapies can be useful in carefully selected patients with well-defined anatomic anomalies, but these are the minority, and again, CPAP is the first-line therapy.
| Respiratory Medicine |
Question #13
A 70-year-old man with severe ankylosing spondylitis presents with complaint of shortness of breath. He denies fever or cough but does note mild right lateral chest pain that seems to worsen with inspiration. His wife reports that several months ago, he had a small stroke, which resulted in moderate residual right hand and right leg weakness; the patient requires some assistance with daily activities. Physical exam is remarkable only for mild tachypnea (22/min); breath sounds are normal. Chest radiograph shows mild hyperinflation, which is unchanged from previous studies. The ECG is normal, as are serum myoglobin and creatinine kinase levels. Arterial blood gas shows a pH of 7.32, a Pco2 of䀠31, and a Po2 of 80 (room air).
What is the most appropriate next step in managing this patient?
- Ventilation-perfusion scanning to evaluate for pulmonary embolism
- Sputum and blood cultures, followed by broad-spectrum antibiotics to treat early pneumonia
- Spirometry to evaluate for worsening restriction caused by ankylosing spondylitis
- Serial troponin I assay to evaluate for myocardial infarction
- Cardiac echocardiography to detect possible left ventricular dysfunction
|
Answer 1 is
correct.
|
This patient has an elevated alveolar-arterial oxygen gradient that is unexplained by his underlying chest wall disorder and findings on chest x-ray. His previous stroke and the resultant decrease in mobility place him at risk for pulmonary embolism, a potentially fatal cause of hypoxemia that needs to be evaluated.
The absence of signs and symptoms of infection together with a negative chest x-ray make empiric antibiotic therapy inappropriate. Ankylosing spondylitis may produce a reduction in vital capacity and total lung volume but will not produce an elevation of the alveolar-arterial oxygen gradient. Myocardial ischemia is a possibility; however, the pleuritic nature of this patient's chest pain and the elevated alveolar-arterial pressure gradient make this diagnosis less likely. Similarly, the clinical presentation is atypical for congestive heart failure.
Question #14
A 57-year-old woman with a history of moderate chronic obstructive pulmonary disease (COPD) and tobacco use presents with 3 days of worsening cough and shortness of breath. Her sputum, which is normally white, is now thick and yellow. Physical exam is significant for scattered rhonchi and wheezes. Arterial oxygen saturation is 92%, which is unchanged from previous office measurements. Chest x-ray shows mildly increased interstitial markings without focal opacities and a significantly elevated left hemidiaphragm. She is treated with a 5-day course of corticosteroids and p.r.n. albuterol, which result in her returning to her usual state of health.
What is the most appropriate follow-up for this patient?
- Spirometry with total lung volumes to establish baseline pulmonary function
- Arterial blood gas on room air to determine if she is chronically retaining CO2
- Follow-up chest x-ray in 1 month to ensure normalization
- Chest CT to evaluate the cause of her diaphragm paralysis
- No specific follow-up is necessary
|
Answer 1 is
not correct. Answer 4 is correct.
|
This patient's presentation is most consistent with an uncomplicated exacerbation of her COPD. The elevated hemidiaphragm, however, indicates the possibility of unilateral diaphragmatic paralysis, a process that is probably unrelated to her acute presentation. Neoplastic invasion of the phrenic nerve is the most common cause of this and should be investigated, especially in this middle-aged smoker.
Question #15
A 37-year-old woman with myasthenia gravis presents with cough, fever, and shortness of breath of 2 days' duration. Arterial blood gas on room air shows a pH of 7.42, a Pco2 of 34, and a Po2 of 80. Chest x-ray shows right middle and right lower lobe consolidation. Gram's stain shows 3+ gram-negative rods and 4+ white blood cells. She is treated empirically with ceftazidime, gentamicin, supplemental oxygen, and aggressive respiratory therapy. During the next 24 hours, she becomes increasingly tachypneic and short of breath. With the patient receiving supplemental oxygen (4 L/min), repeat blood gas measurements show a pH of 7.31, a Pco2 of 49, and a Po2 of 78.
What is the most appropriate therapy for this patient?
- Add vancomycin to the antibiotic regimen
- Discontinue gentamicin and start ciprofloxacin
- Discontinue ceftazidime and start imipenem/cilastatin
- Institute noninvasive positive pressure ventilation
- Continue current therapy
|
Answer 1 is
not correct. Answer 2 is correct.
|
Gentamicin is a weak neuromuscular blocking agent that can cause significant weakness in patients with underlying myasthenia. Other commonly used drugs that may produce similar problems include clindamycin, propranolol, lincomycin, streptomycin, and neomycin. Electrolyte abnormalities such as hypokalemia, hypophosphatemia, and hypocalcemia may compound this effect. This woman's arterial gases show progressive hypoventilation, consistent with respiratory muscle weakness. Although this may be caused by respiratory muscle fatigue secondary to myasthenia gravis, the gentamicin should be discontinued to eliminate any possible contribution.
Question #16
A 27-year-old man with complete C4 quadriplegia after a motor vehicle accident 2 months ago reports significant shortness of breath. His symptoms have been present for 3 to 4 weeks. He has not noted any congestion, increased secretions, fever, or chills. He is able to sleep comfortably at night but notes significant shortness of breath during the day. Physical exam is notable for moderate obesity and complete paralysis below C4.
Which of the following is most likely to improve this patient's symptoms?
- Assisted coughing every 4 hours
- Noninvasive positive pressure ventilation via nasal mask during the day
- Ipratropium bromide nebulization treatments every 6 hours
- Diaphragmatic strengthening exercises
- Abdominal support binder during the day
|
Answer 1 is
not correct. Answer 5 is correct.
|
Quadriplegic patients lack abdominal muscle tone; as a result, when quadriplegic patients assume an upright position, the weight of the abdominal contents pulls the diaphragm down to a resting position that is lower than normal. This results in smaller diaphragmatic excursions during inhalation and smaller tidal volumes. These results can be easily assessed by upright and supine spirometry. The diagnosis is supported by the finding of a decrease in vital capacity when the patient is in an upright position. Properly fitted abdominal binders provide abdominal support sufficient to prevent symptomatic platypnea.
Question #17
A 43-year-old man is seen in the emergency room with cough and fever. A chest x-ray is obtained and shows no evidence of pneumonia. A single small nodule is noted in the right upper lobe. The nodule is approximately 8 mm in diameter and contains small specks of calcium. The patient does not recall ever having had a chest x-ray, and he does not have a primary care provider. The emergency room physician refers this patient to a general internist for follow-up.
What is the best course of action at this time?
- Repeat chest x-ray in 6 months
- Repeat chest x-ray in 1 year
- Thin-section CT with contrast enhancement
- Refer patient for fine-needle biopsy
- On the basis of the calcification pattern, the nodule may be considered benign
|
Answer
3 is correct.
|
Thin-section CT with contrast enhancement is a new way to prove that a nodule is benign. Patients younger than 35 years with pulmonary nodules may undergo serial follow-up for 2 years. This patient is 43 years of age, and so the nodule must be assumed to be malignant until it is proved benign. The nodule may be assumed to be benign if a chest x-ray taken 2 or more years earlier shows the lesion to be either the same size or larger than its current size. This patient did not have any previous chest x-rays. It is inappropriate to simply follow a nodule unless the patient is younger than 35 years. Although fine-needle biopsy may provide a diagnosis by histopathology, by cytologic exam, or by culture of a microorganism, it should not be performed until after the less invasive chest CT scan in this case. Small specks of calcium and dystrophic calcium are often seen in malignant tumors.
Question #18
A 56-year-old public health nurse who lives in Arizona is seen in clinic with a cough of 1 month's duration. Her medical history is notable for systemic lupus erythematosus (SLE); breast cancer, for which she underwent modified radical mastectomy of the right breast 8 years ago without recurrence; and moderate mitral valve insufficiency. A chest x-ray reveals multiple pulmonary nodules of varying size scattered throughout both lungs.
What is the most likely cause of this patient's pulmonary nodules?
- Tuberculosis
- Metastatic breast cancer
- Pulmonary nodules secondary to SLE
- Endocarditis
- Coccidioidomycosis
|
Answer
2 is correct.
|
Hematogenous metastases are the most likely cause of multiple pulmonary nodules, especially if the patient is not febrile and the nodules vary in size. This patient does have potential tuberculosis exposure. Primary tuberculosis is less likely in this patient, given her age and the possibility of ongoing tuberculosis exposure. Primary tuberculosis is often focal with ipsilateral hilar adenopathy. Reactivation tuberculosis is often multifocal with bilateral infiltrates in the upper lung zones. SLE may result in an associated pneumonitis that may appear diffuse or as dense lower lobe infiltrates. Pyemic abscesses may appear as multiple small nodules. These are more likely to be associated with right-sided endocarditis involving the tricuspid valve. Coccidioidomycosis can produce scattered nodules. The disease is relatively inactive, and the only clinical finding may be an abnormal chest x-ray. This patient could have incidental coccidioidomycosis, but metastatic carcinoma is more likely.
Question #19
A previously healthy 38-year-old woman is seen in clinic with a fever and a cough that is productive of purulent sputum. She notes that she developed shaking chills 1 day ago and feels increasingly short of breath. A complete blood count reveals a white blood count of 25,000, with a shift to the left. Chest x-ray reveals a dense focal pulmonary infiltrate.
What is the most likely cause of this patient's pneumonia?
- Mycoplasma pneumoniae
- Legionella pneumophila
- Staphylococcus aureus
- Haemophilus influenzae
- Streptococcus pneumoniae
|
Answer
5 is correct.
|
The most common cause of a focal infiltrate is bacterial pneumonia. Streptococcus pneumoniae is the most common cause of bacterial pneumonia, accounting for perhaps 85% of all cases in healthy young adults. Haemophilus influenzae, Staphylococcus aureus, and Legionella pneumophila are associated more frequently with bacterial pneumonia in patients with chronic medical conditions and advanced age. Mycoplasma pneumoniae is associated with focal infiltrates and would be another possible cause in this patient, but it is a less likely cause than Streptococcus pneumoniae.
Question #20
A 53-year-old woman presents with a protracted course of malaise, weight loss, and nonproductive cough. She notes that 2 months ago, before she experienced her current symptoms, she had a flulike illness. Multiple dense peripheral pulmonary infiltrates are noted on chest x-ray. After transbronchial lung biopsy, a diagnosis of bronchiolitis obliterans organizing pneumonia (BOOP) is established.
Which of the following is characteristic of BOOP?
- BOOP responds better to glucocorticoid therapy than does idiopathic pulmonary fibrosis
- Most cases are associated with specific immunologic disorders
- Pathologic findings are specific
- Most patients require open lung biopsy to establish the diagnosis
- The extent of disease is determined by chest x-ray
|
Answer 1 is
correct.
|
Idiopathic BOOP is a chronic parenchymal lung disease that is clinically distinct from idiopathic pulmonary fibrosis; it responds better to glucocorticoid therapy and has a better prognosis than the latter condition. Fully two thirds of patients respond dramatically to glucocorticoid therapy. CT scanning shows the extent of disease better than chest radiography. Features include patchy bilateral air-space consolidation, small nodular opacities, bronchial wall thickening, and dilatation. Diagnosis can be made on transbronchial lung biopsy. A minority of patients require open lung biopsy to establish the diagnosis. Pathologic findings are nonspecific and may occur in viral infections, toxic exposures, and hypersensitivity pneumonitis. Perhaps one half of all cases are idiopathic.
Question #21
A 53-year-old man presents to clinic with fever, chills, and a productive cough. He has a long history of atopic asthma. Allergic bronchopulmonary asthma is suspected.
Which of the following is a pathognomonic finding in allergic bronchopulmonary asthma?
- Eosinophil count higher than 10,000/mm3
- Branching fingerlike shadows of dilated central bronchi seen on chest x-ray
- Positive sputum cultures for Aspergillus
- Positive skin tests to Aspergillus antigens
- Hyphae seen on microscopic exam of sputum
|
Answer 1 is
not correct. Answer 2 is correct.
|
Branching fingerlike shadows from mucoid impaction of dilated central bronchi are virtually pathognomonic of allergic bronchopulmonary aspergillosis. Eosinophil counts greater than 10,000/mm3 are often seen in Churg-Strauss syndrome. Although the other choices are associated with allergic bronchopulmonary aspergillosis and raise an index of suspicion for this diagnosis, they are not pathognomonic.
| (A) | Administration of sodium bicarbonate |
| (B) | Administration of acetazolamide |
| (C) | Administration of supplemental oxygen |
| (D) | Application of continuous positive airway pressure and administration of supplemental oxygen |
| (E) | Administration of supplemental oxygen and endotracheal suction to remove aspirated fluid |
The answer is D. (Chapter 394. Modell, N Engl J Med 328:253-256, 1993.)
The explanation
for the correct response is:
Ninety percent of drowning patients aspirate fluid; however, the vast majority
aspirate less than 22 mL/kg. Although aspiration of fresh water can produce
acute hypervolemia with dilutional hyponatremia and possibly even hemolysis,
these are rare occurrences. Aspiration of seawater can cause hypovolemia with
ensuing hypernatremia. In the absence of documentation of such an electrolyte
problem, no specific therapy is required. Aspiration of water of any type
leads to considerable venous admixture (i.e., ventilation-perfusion
abnormalities), which can produce hypoxemia. The most important therapeutic
maneuvers, after resuscitation on the scene, are to provide supplemental
oxygen, intravenous access, and transportation to a hospital where the patient
can be evaluated for adequacy of ventilation, cardiac function, and blood
volume. The best way to reverse drowning-associated hypoxemia consists of the
application of continuous positive airway pressure (CPAP). CPAP may be
combined with mechanical inflation of the lung as needed; mechanical inflation
may be particularly effective in those who have aspirated fresh water, which
leads to a change in the surface-tension characteristics of pulmonary
surfactant. Correction of severe metabolic acidosis with bicarbonate is
controversial. Finally, the universal need for corticosteroid therapy and
antibiotics is no longer accepted.
| (A) | Idiopathic pulmonary fibrosis |
| (B) | Atelectasis |
| (C) | Klebsiella pneumonia |
| (D) | Cardiogenic pulmonary edema |
| (E) | Osler-Rendu-Weber syndrome |
The answer is A. (Chapter 250.)
The explanation
for the correct response is:
The general mechanisms responsible for hypoxemia include alveolar
hypoventilation, impaired diffusion, ventilation-perfusion inequality, and
shunting (blood bypassing ventilated areas of the lung). In each of these
cases, except for shunting, the arterial PO2
increases significantly when the inspired PO2
is raised. Examples of shunts (which could account for the lack of response to
oxygen therapy described in the question) include congenital heart disease
that produces direct right-to-left intracardiac flow (usually associated with
pulmonary hypertension), intra- pulmonary vascular shunting (i.e., congenital
telangiectatic disorders such as Osler-Rendu-Weber syndrome), and, most
commonly, perfused alveoli that are not ventilated because of atelectasis or
fluid buildup (pneumonia or pulmonary edema). Since impaired diffusion usually
is not severe enough to lead to disordered gas exchange except during
exercise, most cases of normocapnic hypoxemia are due to ventilation-perfusion
mismatch. Many processes that affect the lungs (alveolar disease, interstitial
lung disease, pulmonary vascular disease, airway disease) do so unevenly,
leading to some areas with adequate perfusion and poor ventilation and some
with good ventilation and poor perfusion.
| (A) | increased blood flow to the dependent lung |
| (B) | reduced ventilation to the dependent lung |
| (C) | increased airway resistance in the dependent lung |
| (D) | accumulation of interstitial edema in the dependent lung |
| (E) | increased stiffness of the chest wall on the dependent side |
The answer is A. (Chapter 250.)
The explanation
for the correct response is:
In a person standing erect, blood flow per unit volume increases from the apex
of the lung to the base. Ventilation also increases from the apex to the base,
but the gradient is less than that for blood flow, making the
ventilation-perfusion ratio lower at the bottom of the lung than it is at the
top. Both ventilation and perfusion are affected by posture; as a general
rule, the dependent regions are better perfused than ventilated and have the
lowest ratio of ventilation to perfusion. Thus, a person with unilateral
air-space disease may have an increase in venous admixture when the diseased
lung is dependent. In that situation, blood flow increases to the diseased
lung, perfusing atelectatic and poorly ventilated alveoli, and hypoxemia
ensues.
| (A) | Bacterial pneumonia |
| (B) | Viral pneumonia |
| (C) | Bronchial obstruction |
| (D) | Pleural effusion |
| (E) | Pneumothorax |
The answer is C. (Chapter 249.)
The explanation
for the correct response is:
In evaluating a patient with shortness of breath, examination of the thorax is
crucial. Tracheal deviation to the left indicates either a pleural effusion on
the right or loss of volume on the left. Volume loss typically is due to an
obstructed bronchus that produces atelectasis in the affected segment or lobe.
Loss of aerated lung will be reflected in dullness to percussion, absent
breath sounds on auscultation, and a decrease in tactile fremitus. A
consolidative process such as bacterial pneumonia may well produce increased
fremitus as well as bronchial breath sounds and whispered pectoriloquy, since
sounds are well transmitted through a consolidated area. In a pneumothorax, a
percussion of the chest would reveal hyperresonance, although breath sounds
and fremitus would be absent. A possible cause of obstruction and atelectasis
of a large amount of left lung tissue could be obstruction of a major bronchus
by carcinoma of the lung, especially in an older patient who is a heavy
smoker.
| (A) | sweat chloride test |
| (B) | sputum culture |
| (C) | pulmonary function testing |
| (D) | stool for fetal fat content |
| (E) | DNA analysis |
The answer is A. (Chapter 257. Stutts, Science 269:847, 1995.)
The explanation
for the correct response is:
Cystic fibrosis, an autosomal recessive disease, results from a mutation in a
gene on chromosome 7. Because of the multiple potential mutations that have
been described in this gene, it is currently not feasible to use DNA-based
diagnosis to identify patients with this disorder or heterozygous carriers.
The gene codes for a protein called the cystic fibrosis transmembrane
regulator (CFTR), which is a single-chain 1480 amino acid-containing protein
that functions as a cyclic AMP-regulated chloride channel. All affected
tissues, including airway and intestinal epithelium, sweat ducts, and exocrine
pancreatic ducts, express an abnormal CFTR protein. The most common mutation
in this protein is an absence of phenylalanine in amino acid position 508,
resulting from a 3-basepair DNA deletion. A consequence of this and the other
mutations in the CFTR protein is failure of normal calcium chloride transport.
Therefore, secretions are dehydrated and poorly cleared. The diagnosis of
cystic fibrosis now depends on a combination of clinical criteria and a
demonstration that sweat chloride values are abnormally low. About half of the
1 to 2 percent of patients with cystic fibrosis who have normal sweat chloride
values have a specific single G to T mutation in the CFTR gene.
On further questioning, it is learned that these episodes begin on days when the patient is required to tend to experiments involving laboratory rats at the animal facility. What is the best treatment for this condition?
| (A) | Inhaled cromolyn sodium |
| (B) | Prednisone |
| (C) | Inhaled beclomethasone |
| (D) | Discontinuation of visits to the animal facility |
| (E) | No treatment |
The answer is D. (Chapter 253.)
The explanation
for the correct response is:
Given the temporal relationship of the symptoms to the work with rats,
serologic evidence for inflammation, the nonspecific radiographic findings,
and the restrictive pulmonary physiology suggested by spirographic
examination, the most likely diagnosis is acute hypersensitivity pneumonitis,
with male rat urine probably being the offending antigen. Without treatment,
the patient could develop the subacute or chronic form of the disease with
potentially serious physiologic impairment. While steroids can be helpful in
severe or chronic cases, the best therapy is to remove the offending antigen
or remove the patient from an environment where exposure is inevitable. This
approach is difficult when the patient's life-style or livelihood requires a
radical change; in the case presented, however, simply restricting the
student's laboratory efforts to those not involving direct animal care seems
relatively nondisruptive.
| (A) | microorganism-mediated activation of pulmonary neutrophils |
| (B) | immune complex-mediated activation of alveolar macrophages |
| (C) | direct immune complex-mediated pulmonary interstitial damage |
| (D) | primary fibroblast proliferation |
| (E) | viral-mediated pulmonary epithelial damage |
The answer is B. (Chapter 259.)
The explanation
for the correct response is:
Bronchoalveolar lavage in patients with idiopathic pulmonary fibrosis, a
chronic inflammatory disorder of the lower respiratory tract characterized by
dyspnea and reticulonodular infiltrates on chest radiography, discloses an
abundance of alveolar macrophages. Probably related to locally generated
immune complexes, alveolar macrophages become activated and then produce
several mediators that recruit and induce fibroblast proliferation, which
causes secondary damage. Macrophage-derived mediators believed to be important
in this process include fibronectin, a 200-kDa dimeric glycoprotein that
interacts with connective tissue matrix as well as specific receptors on
fibroblasts, and platelet-derived growth factor, whose beta chain is encoded
by the c-sis proto-oncogene. Platelet-derived growth factor is believed
to play an important role in recruiting fibroblasts to the site of
inflammation. Macrophages also produce chemotaxins such as leukotriene B4
and interleukin 8, which attract neutrophils and eosinophils into the region.
| (A) | trimethoprim-sulfamethoxazole |
| (B) | substitution of albuterol for isoproterenol |
| (C) | oxygen therapy |
| (D) | prednisone |
| (E) | addition of inhaled beclomethasone |
The answer is C. (Chapter 258. Oswald-Mammosser, Chest 107:1193, 1995.)
The explanation
for the correct response is:
The patient has evidence of obstructive lung disease on the basis of
hyperinflation, decreased breath sounds, decreased FEV1, and a
heavy smoking history. He has chronic hypoxemia and a moderate degree of CO2
retention. He may have an intermediate syndrome between emphysema and chronic
bronchitis. Smoking cessation, yearly vaccination against influenza, and a
one-time vaccination against S. pneumoniae infection are indicated.
There are no definitive data to support the use of chronic antibacterial
prophylaxis or systemic glucocorticoids, though occasional patients will
benefit from steroid therapy given either systemically or by inhalation. The
major issue is hypoxemia, which should be treated with continuous (at least
nocturnal) oxygen therapy. Several trials have documented the benefit of
oxygen therapy for lowering mortality, improving neuropsychological status,
and decreasing the incidence of heart failure. Albuterol, a selective beta2
agonist, induces bronchodilation with few cardiac side effects; however, the
benefit of oxygen therapy is likely to be much greater than that of changing
the inhaled sympathomimetic.
| (A) | relate a personal or family history of allergic diseases |
| (B) | conform to a characteristic personality type |
| (C) | display a skin-test reaction to extracts of airborne allergens |
| (D) | demonstrate nonspecific airway hyperirritability |
| (E) | have supranormal serum immunoglobulin E |
The answer is D. (Chapter 252.)
The explanation
for the correct response is:
The importance of immune mechanisms in the pathogenesis of asthma is suggested
by the common association between the disease and the presence of allergic
diseases, skin-test sensitivity, and increased serum IgE levels. In addition,
many susceptible persons develop bronchospasm after inhalation challenge with
airborne allergens. A large proportion of asthmatic subjects, however, have
none of these markers of immunologic activity and are classified as having
idiosyncratic asthma. When tested for bronchial hyperirritability with various
nonantigenic bronchoprovocational agents (e.g., histamine and cold air),
asthmatic subjects are found to be more sensitive than normal, and the
bronchoconstriction is generally reversible after exposure to a beta-adrenergic
agonist; the reason for this airway hyperirritability, which is a common
feature of all asthmatic persons, is unknown. Although psychologic factors
certainly influence the expression of asthma, no single personality type is
considered "asthmatic."
| (A) | delayed, tuberculin-type skin-test reaction to Aspergillus fumigatus |
| (B) | sputum culture positive for A. fumigatus |
| (C) | immediate skin test reaction to A. fumigatus |
| (D) | marked elevation of the serum immunoglobulin E level |
| (E) | radiographic evidence of bronchiectasis |
The answer is A. (Chapter 253.)
The explanation
for the correct response is:
Allergic bronchopulmonary aspergillosis is a hypersensitivity pneumonitis that
involves an allergic reaction to antigens from Aspergillus spp., most
commonly A. fumigatus. The diagnosis should be suspected in asthmatic
persons who have recurrent pulmonary infiltrates associated with peripheral
blood or sputum eosinophilia. Suggestive laboratory findings include serum
immunoglobulin E levels elevated to many times normal and the presence of
aspergilli in the sputum. Antigenic skin testing is positive both in immediate
(type I, wheal and flare) reaction and reaction evident after 4 to 6 h (type
III, erythema and induration). Delayed, tuberculin-type (type IV,
cell-mediated) reactions, however, do not occur. Serum precipitins to
aspergilli are found in the majority of affected persons. The inflammatory
response leads to dilatation of central airways and often is evident
radiographically as mucoid impaction.
| (A) | intravenous aminophylline |
| (B) | inhaled cromolyn sodium |
| (C) | inhaled albuterol |
| (D) | intravenous hydrocortisone |
| (E) | inhaled beclomethasone |
The answer is C. (Chapter 252. McFadden, Am J Med 99:651, 1995.)
The explanation
for the correct response is:
Asthmatic patients who present with an acute attack and lack signs of
impending ventilatory collapse should be treated with an inhaled aerosolized
beta2 agonist such as albuterol or isoproterenol. Such medicines
can be given up to every 20 min by inhaled nebulizer for three doses, with the
frequency reduced thereafter. Such drugs are five times more effective than
intravenous aminophylline. Intravenous or inhaled steroids will have a delayed
onset of action, if they are destined to be beneficial at all. Patients should
be reassured that mortality from asthma is unlikely; however, it is
nonetheless advisable to respect an acute asthmatic attack, especially one
accompanied by CO2 retention.
| (A) | bronchiectasis |
| (B) | sinusitis |
| (C) | recurrent bronchitis |
| (D) | interstitial pulmonary fibrosis |
| (E) | infertility |
The answer is D. (Chapter 256.)
The explanation
for the correct response is:
Cilia, which are responsible for the motility and mucous clearance functions
of many cell types, are composed of a double tubular structure. Abnormalities
in one of the anatomic components of cilia can lead to a lack of coordinated
ciliary action. Kartagener's syndrome, the best known of the dyskinetic
ciliary syndromes, is caused by an absence of the inner or outer dynein arms
normally present in functional cilia. Impaired ciliary motion is most
prominently reflected in the lack of sperm motility and the impaired
epithelial function of the fallopian tubes and respiratory tract. Infertility
results from impaired motility of sperm and epithelial function of fallopian
tubes, while chronic sinopulmonary infections result from impaired function of
the respiratory tract. Recurrent bronchitis and pneumonia caused by impaired
removal of airway secretions can lead to diffuse bronchiectasis with
abnormally dilated airways and copious sputum production but not to
interstitial pulmonary fibrosis.
| (A) | Assist/control mode of ventilation |
| (B) | Synchronized intermittent mandatory ventilation |
| (C) | Pressure-control ventilation |
| (D) | Pressure-support ventilation |
| (E) | Continuous positive airway pressure |
The answer is C. (Chapter 266.)
The explanation
for the correct response is:
The answer is D.
(Chapter 262.
Berkmann, Postgrad Med J 69:12, 1993.) The explanation
for the correct response is:
The answer is E.
(Chapter 255.
Fang, Medicine 69:307-316, 1992.) The explanation
for the correct response is:
The answer is B.
(Chapter 258.) The explanation
for the correct response is:
The answer is B.
(Chapter 259.) The explanation
for the correct response is:
The answer is C.
(Chapter 260.
Rich, Primary Pulmonary Hypertension, in Braunwald E (ed), Heart Disease, 1996.) The explanation
for the correct response is:
The answer is E.
(Chapter 261.) The explanation
for the correct response is:
The answer is D.
(Chapter 264.
Fujita, Ear Nose Throat J 72:67, 1993.) The explanation
for the correct response is:
A patient with the stiff lungs characteristic of the adult respiratory
distress syndrome often requires the institution of 0 to 5 cmH2O of
positive end-expiratory pressure to maintain adequate oxygenation. However,
such high pressures may disrupt lung tissue, causing subcutaneous emphysema or
pneumothorax. Patients with such complications probably are best served by the
use of pressure-control ventilation, in which a given pressure is imposed at
the airway opening during the inspiratory phase and delivers whatever tidal
volumes and inspiratory flow rates are possible on the basis of set pressure.
In addition to its use in situations where barotrauma has occurred,
pressure-control ventilation may be helpful in postoperative thoracic surgical
patients who have newly created suture lines. Because of the asynchronous
nature of pressure-control ventilation relative to the patient's own
ventilatory efforts, such ventilation usually requires heavy sedation.
However, newer modifications of pressure-control ventilation allow the patient
to initiate breaths to be given at a set pressure, allowing its use without
such sedation.
kat/L
(90 U/L). Cell count reveals 1000 red cells per microliter and 1000 white
cells per microliter (differential: 50 percent neutrophils, 25 percent
lymphocytes, and 25 percent monocytes). A ventilation-perfusion lung scan is
indeterminate on the right side because of the large effusion, but there are
no ventilation-perfusion mismatches elsewhere. The next most appropriate
step would be
(A)
pulmonary
arteriogram
(B)
abdominal
CT
(C)
chest
CT
(D)
needle
biopsy of pleura
(E)
administration
of isoniazid with ethambutol
The initial step in the evaluation of a pleural effusion is the determination
of the presence of either a transudative effusion, usually caused by
congestive heart failure, cirrhosis, or nephrotic syndrome, or an exudative
pleural effusion, which may be due to a host of causes. The working definition
of an exudative effusion is one that meets any of the following criteria: (1)
pleural fluid to serum protein concentration ratio greater than 0.5, (2)
pleural fluid to serum lactic dehydrogenase (LDH) concentration ratio greater
than 0.6, (3) pleural fluid LDH concentration greater than two-thirds of the
upper limit of normal serum LDH. This patient's effusion is an exudate.
Additional studies to be done include measurement of pleural glucose and
cultures for bacterial mycobacteria and fungi. If the glucose is less than 60
mg/dL, malignancy, empyema, or rheumatoid pleuritis should be considered.
Esophageal rupture, pancreatitis, and malignancy can cause an elevated pleural
fluid amylase. If no diagnosis is apparent after the above studies, occult
pulmonary embolism should be considered. If there is still no diagnosis based
on these studies, it is then appropriate to perform a needle biopsy of the
pleura with particular attention to histologic analysis for tuberculosis or
cancer.
(A)
Penicillin
G
(B)
Cefotaxime
(C)
Erythromycin
(D)
Ampicillin
plus sulbactam
(E)
Ampicillin
plus sulbactam plus erythromycin
Patients who require hospitalization for pneumonia acquired in the community
optimally receive prompt microbiologic diagnosis. Recent studies have shown
that about one-third of patients with such community-acquired pneumonias are
alcohol abusers or have COPD. The potential microbiologic etiology for this
spectrum of disease is S. pneumoniae, H. influenzae, Legionella
spp., Chlamydia, anaerobes, S. aureus, and Mycoplasma. If
the likelihood of pneumococcal pneumonia is high on the basis of the sputum
Gram stain, penicillin and ampicillin still remain the drugs of choice, given
a relatively low rate of penicillin-resistant organisms. However, if the
likelihood of aerobic bacterial infection is high, second-generation
cephalosporins such as cefotaxime are appropriate. If anaerobic infection is
considered likely, metronidazole or ampicillin plus sulbactam should be used.
In the current case, given the lack of clear-cut microbiologic evidence for a
specific infection, the absence of sputum, and the equivocal findings on the
chest x-ray, Chlamydia or Legionella should be strongly
considered. The best empiric regimen in this situation would be ampicillin
plus sulbactam in addition to erythromycin. A microbiologic diagnosis should
be made in the next few days to allow narrowing of the antibiotic regimen.
(A)
intravenous
infusion of sodium bicarbonate
(B)
endotracheal
intubation and assisted ventilation
(C)
administration
of isoetharine by air-compressor nebulizer
(D)
discontinuation
of supplemental oxygen
(E)
subcutaneous
injection of epinephrine
Certain persons with severe obstructive lung disease appear to respond to
uncontrolled oxygen therapy by dangerously reducing their minute ventilation.
Because they are relatively insensitive to changes in arterial PCO2,
hypoxemia is the major ventilatory stimulus in these persons. When hypoxemia
is suddenly treated with supplemental oxygen therapy given in an uncontrolled
fashion, ventilation drops and worsening ventilation-perfusion relationships
occur, arterial PCO2 rises, acidosis
results, and coma may develop. However, abrupt removal of supplemental oxygen
may precipitate life-threatening hypoxemia. Because acidosis must nevertheless
be reversed rapidly by increasing ventilation, endotracheal intubation should
be performed, followed by mechanical ventilation of a sufficient amount to
return arterial pH to the physiologic range. Inhaled bronchodilators cannot be
given to comatose, unintubated persons. Epinephrine is relatively ineffective
in persons with acute or chronic respiratory failure and is dangerous in
elderly, acidemic patients.


(A)
angiotensin
converting enzyme level
(B)
transbronchial
biopsy
(C)
bronchoalveolar
lavage
(D)
salivary
gland biopsy
(E)
serology
for rheumatoid factor
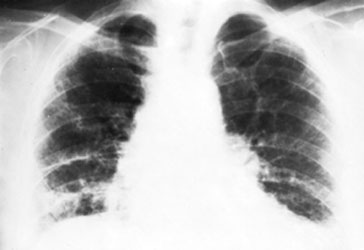
The chest x-rays presented show diffuse, severe interstitial infiltrates
without hilar adenopathy. Although sarcoidosis may produce this radiographic
picture, it is also compatible with idiopathic interstitial pneumonitis,
hypersensitivity pneumonitis, collagen vascular disease, inhalation of
inorganic dusts, and many other processes. The degree of respiratory system
dysfunction demonstrated by this patient necessitates rapid evaluation and a
definitive histologic diagnosis so that appropriate therapy can be initiated.
Angiotensin converting enzyme levels, although elevated in many patients with
sarcoidosis, are not sufficiently sensitive or specific to replace tissue
biopsy in the workup of persons with interstitial infiltrates. Although biopsy
of extrapulmonary tissue may demonstrate noncaseating granulomas in patients
with sarcoidosis, such biopsies may be negative in patients with active
disease. A pathologic diagnosis is absolutely required in patients presenting
with interstitial lung disease of uncertain etiology. Fiberoptic bronchoscopy
should be performed to rule out infection or malignancy; an accompanying
transbronchial biopsy may yield a diagnosis about 25 percent of the time.
Bronchoalveolar lavage to assess the degree of inflammation may be helpful in
monitoring disease activity, but its precise role in interstitial lung disease
has not been defined. Despite its relatively low yield, the relatively low
risk makes an attempt at transbronchial biopsy reasonable before definitely
obtaining tissue at open lung biopsy.
(A)
open
lung biopsy
(B)
Holter
monitoring
(C)
right-heart
catheterization
(D)
transbronchial
biopsy
(E)
serum
Alpha1-antitrypsin level
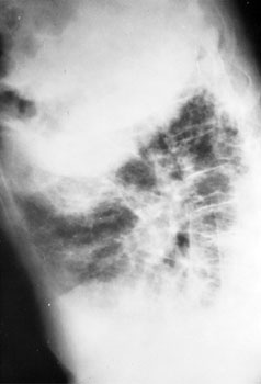
Primary pulmonary hypertension is an uncommon disease that usually affects
young women. Early in the illness affected persons often are diagnosed as
psychoneurotic because of the vague nature of presenting complaints, for
example, dyspnea, chest pain, and evidence of hyperventilation without
hypoxemia on arterial blood-gas testing. However, progression of the disease
leads to syncope in approximately one-half of cases and signs of right heart
failure on physical examination. Chest x-ray typically shows enlarged central
pulmonary arteries with or without attenuation of peripheral markings. The
diagnosis of primary pulmonary hypertension is made by documentation of
elevated pressures by right heart catheterization and exclusion of other
pathologic processes. Lung disease of sufficient severity to cause pulmonary
hypertension would be evident by history and on examination. Major
differential diagnoses include thromboemboli and heart disease; outside the
United States, schistosomiasis and filariasis are common causes of pulmonary
hypertension, and a careful travel history should be taken.
(A)
order
a ventilation-perfusion scan
(B)
order
pulmonary angiography
(C)
order
impedance plethysmography
(D)
order
blood testing for fibrin split products
(E)
repeat
the physical examination
The clinical triad of dyspnea, confusion, and petechiae in a person who has
had recent long-bone fractures establishes the diagnosis of fat embolism
syndrome. This disorder, which usually occurs within 48 h of injury, may lead
to respiratory failure and death. Petechiae most often are found across the
neck, in the axillae, and in the conjunctivae; however, their appearance is
often evanescent. No laboratory test is specific for fat embolism.
(A)
men
are affected more often than women
(B)
systemic
hypertension is a common finding
(C)
alcohol
can be a contributing factor
(D)
estrogens
are frequently useful
(E)
personality
changes may be the presenting complaint
Obstructive sleep apnea syndrome is a complex entity that involves
intermittent upper-airway obstruction during sleep. Most of the
manifestations, such as hypertension, cor pulmonale, chronic fatigue,
personality changes, and disordered sleep behavior, resolve when obstruction
is bypassed by a tracheostomy or endotracheal tube. Although the syndrome is
more common in men, the prevalence increases in women after menopause. Alcohol
and sedatives can exacerbate ventilatory obstruction by decreasing
upper-airway muscle tone. Treatment of severe obstructive sleep apnea includes
tricyclics to improve upper-airway muscle tone, uvulopalatopharyngoplasty to
create a more spacious airway, continuous nasal positive airway pressure to
prevent muscular collapse, and tracheostomy to bypass the obstruction
completely. Estrogens, which once were thought to be beneficial in improving
respiratory drive, are not now considered a mainstay of treatment.
| (A) | idiopathic pulmonary fibrosis |
| (B) | alveolar proteinosis |
| (C) | polymyositis |
| (D) | chronic eosinophilic pneumonia |
| (E) | lymphangiomyomatosis |
The answer is D. (Chapter 253. Hayakawa, Chest 105:1462, 1992.)
The explanation
for the correct response is:
Chronic eosinophilic pneumonia is an interstitial lung disorder of unknown
cause that produces a systemic illness characterized by fever, weight loss,
and malaise. Although lung biopsy shows an eosinophilic infiltrate involving
both the interstitium and the alveolar space, there may not be an associated
eosinophilia in the peripheral blood. The diagnosis should be suggested by the
"photonegative pulmonary edema" pattern, with central sparing and
nonsegmental, patchy infiltrates in the lung periphery. This disorder often
responds dramatically to corticosteroid therapy. Idiopathic pulmonary fibrosis
and polymyositis produce diffuse reticular, nodular, or reticulonodular
infiltrates on chest x-ray. Alveolar proteinosis is a rare disorder that most
often produces a diffuse air-space filling pattern radiating from hilar
regions on chest x-ray, often with air bronchograms. Alveolar proteinosis does
not cause fever unless it is complicated by an infection such as nocardiosis.
Lymphangiomyomatosis is also rare. It occurs exclusively in women of
childbearing age. The chest x-ray shows reticulonodular infiltration, but the
lungs often appear hyperinflated. Lymphangiomyomatosis is complicated by
pleural effusion and pneumothorax but not by fever.
| (A) | add positive end-expiratory pressure (5 cmH2O) |
| (B) | sedate the man and control his ventilation |
| (C) | infuse sodium bicarbonate intravenously |
| (D) | raise the inspired oxygen concentration |
| (E) | initiate extracorporeal membrane oxygenation |
The answer is B. (Chapter 266. Hinson, Annu Rev Med 43:341, 1992.)
The explanation
for the correct response is:
Some persons who become agitated or anxious on a mechanical ventilator receive
inadequate ventilation because they are breathing out of phase with the
machine. The man described in the question has adequate oxygenation; a PO2
of 70 mmHg means that his hemoglobin is more than 90 percent saturated.
However, he is hypoventilating and has developed an acute respiratory
acidosis. Positive end-expiratory pressure (PEEP) improves oxygenation by
raising the lung volume and reducing shunting, but it does not have a large
effect on carbon dioxide clearance. Therefore, the appropriate first step in
management would be to administer a sedative and control the man's ventilation
to reduce arterial PCO2 and raise pH.
| (A) | Performance of a pulmonary angiogram |
| (B) | Performance of perfusion scintigraphy |
| (C) | Administration of tissue plasminogen activator |
| (D) | Administration of heparin |
| (E) | Administration of warfarin |
The answer is D. (Chapter 261.)
The explanation
for the correct response is:
Patients at high risk for thromboembolic disease include those who have had
recent anesthesia, recent childbirth, heart failure, leg fracture, prolonged
bed rest, obesity, estrogen use, or cancer. The clinical scenario presented is
highly consistent with a pulmonary embolism arising from venous thrombosis of
a proximal lower extremity in a postoperative patient. While the
electrocardiogram is usually normal except for sinus tachycardia, the finding
of new right-sided heart strain is compatible with a significant pulmonary
embolus. The positive impedance plethysmogram for an above-the-knee venous
thrombosis obviates the need for additional diagnostic testing. The patient
must receive antithrombotic therapy (heparin) in an attempt to inhibit clot
growth, promote resolution, and prevent recurrence. Warfarin requires several
days to achieve anticoagulation and is therefore not appropriate in the acute
setting. While thrombolytic therapy can clearly hasten the resolution of
thrombi and may be appropriate for large, deep venous thromboses and pulmonary
embolisms large enough to cause hypotension, its role in altering the natural
history of this disorder has not been defined. Furthermore, recent surgery is
a contraindication to the use of thrombolytic agents, which, even in the case
of more specific newer agents such as tissue plasminogen activator, carry
significant hemorrhagic risk. Lower-molecular-weight heparins (e.g.,
enoxaporin) have several potential advantages, including a longer half-life
and a more predictable dose response, compared with unfractioned heparin;
however, this newer agent has not received FDA approval for the treatment of
pulmonary embolism or deep venous thrombosis.
| (A) | Intestinal obstruction |
| (B) | Sinusitis |
| (C) | Steatorrhea |
| (D) | Dextrocardia |
| (E) | Clubbing |
The answer is D. (Chapter 257.)
The explanation
for the correct response is:
Although the majority of patients with cystic fibrosis are diagnosed in
childhood, a significant number of patients are not identified until their
late teens, twenties, or even thirties. Accurate diagnosis requires that the
sweat chloride test be given to all patients with clinical features of cystic
fibrosis. Airway obstruction resulting from bronchiectasis is associated with
sinusitis and infertility in males with both cystic fibrosis and the immotile
cilia syndrome, but only males with immotile cilia have Kartagener's syndrome
(bronchiectasis, sinusitis, and dextrocardia). Patients with cystic fibrosis
may have any of several gastrointestinal manifestations including obstruction,
intussusception, fecal impaction, volvulus, portal hypertension, and
steatorrhea. Steatorrhea is a manifestation of pancreatic insufficiency.
Nearly all patients with cystic fibrosis display clubbing.
| (A) | increased lung elastic recoil |
| (B) | increased total lung capacity |
| (C) | reduced functional residual capacity |
| (D) | increased vital capacity |
| (E) | increased diffusing capacity |
The answer is B. (Chapter 258.)
The explanation
for the correct response is:
The man described in the question presents with physical signs (pursed lip
breathing, chest hyperexpansion) and radiographic evidence (flattened
diaphragms, attenuated markings) suggestive of obstructive lung disease with
loss of lung tissue. Reduced expiratory air-flow rates are produced by
narrowing of airways (e.g., in asthma), loss of airways (e.g., in
bronchiolitis obliterans), or loss of elastic tissue (e.g., in emphysema).
Pathophysiologically, these conditions cause increased resistance as airways
are narrowed or collapse as well as decreased driving pressure that represents
loss of elastic recoil. Air trapping and reduced lung recoil lead to an
increase in both total lung capacity (TLC) and functional residual capacity (FRC),
which is the volume at which the tendency of the lung to recoil inward is just
balanced by the tendency of the chest to recoil outward. Although TLC is
increased, vital capacity, the maximum amount of gas that can be exhaled from
the lungs with a single breath, is reduced owing to the great increase in
residual volume produced by gas trapping. Not only is vital capacity reduced,
it takes longer to empty the lungs; thus, forced expiratory volume in 1 s (FEV1)
is reduced as a percentage of vital capacity. When alveolar capillaries are
destroyed by emphysema, the diffusing capacity, which reflects in part the
surface area of alveolar membrane available for gas exchange, is reduced.
| (A) | acid starch gel |
| (B) | measurement of sweat chloride concentration |
| (C) | immunoelectrophoresis |
| (D) | complete spirometry |
| (E) | arterial blood-gas determination |
The answer is B. (Chapter 258.)
The explanation
for the correct response is:
To establish baseline information in persons who have emphysema, spirometry
should be performed, and for persons with significant complaints or physical
findings, arterial blood gases also should be checked. Although cigarette
smoking accounts for the vast majority of cases of emphysema, a small
percentage of persons who develop this illness have had no exposure to tobacco
products. A subset of this nonsmoking, emphysematous population is deficient
in
1-antitrypsin,
which is a protease inhibitor that normally is found in the serum. It is
currently believed that release of proteolytic enzymes from inflammatory cells
accounts for the lung destruction that typifies emphysema, and
1-antitrypsin
deficiency, a familial disorder, the genotype of which is acid starch gel and
immunoelectrophoresis, permits this destruction to occur unimpeded. Exercise
testing is not necessary as an initial screening test for emphysema but should
be considered before oxygen therapy is prescribed. A male who has
emphysematous respiratory failure, gives no history of respiratory infections,
and has children would not have cystic fibrosis (affected men are sterile);
therefore, a sweat chloride test would not be a useful procedure.
| (A) | emphysema results from an inability to inhibit alveolar destruction by neutrophils |
| (B) | clinical
deficiency of |
| (C) | the disease is inherited in a dominant fashion |
| (D) | mutations
of the |
| (E) | treatment
with purified |
The answer is C. (Chapter 258.)
The explanation
for the correct response is:
Reduced serum levels of the antiprotease &agrl1-antitrypsin,
which is synthesized primarily in the liver, are associated with an inability
to control the alveolar-damaging effects of neutrophil elastase and clinical
emphysema.
1-Antitrypsin
is encoded by a 7-exon gene spanning 12.2 kilobases on chromosome 14. Common
disease-producing mutations of the normal M gene are the Z type, in which a
single amino-acid substitution results in a hyperaggregative, improperly
processed protein, and the S type, which results in a product with a shortened
half-life and also is due to a single amino-acid change. Heterozygotes (either
M2 or M5) appear to have sufficient, albeit reduced, levels of
1-antitrypsin
to prevent severe lung damage. Since the S type produces less clinical
antiprotease "deficiency," the pulmonary disease produced in SS
homozygotes is much less severe than that seen in patients whose genotype is
ZZ. Intravenous administration of normal human purified
1-antitrypsin
can increase serum levels to a point at which sufficient antiprotease activity
is provided to protect alveoli from elastase-induced damage.
| (A) | age greater than 70 |
| (B) | azithromycin use for Mycoplasma pneumonia |
| (C) | congestive heart failure |
| (D) | marijuana abuse |
| (E) | allopurinol use for gout |
The answer is D. (Chapter 252.)
The explanation
for the correct response is:
Although inhaled sympathomimetics are now considered the first-choice
treatment for acute asthmatic attacks, methylxanthines such as theophylline
are effective bronchodilators and continue to be used extensively in this
disorder. The therapeutic plasma concentration is 10 to 20 mg/mL, but the dose
required to achieve these levels varies widely, depending on the clinical
situation. The theophylline dose should be reduced in any condition in which
the clearance of this drug is significantly impaired, such as in the very
young, the elderly, and those with liver or cardiac dysfunction. Many drugs
interfere with the metabolism of theophylline. Some commonly used agents,
including allopurinol, propranolol, cimetidine, and erythromycin, interfere
with theophylline clearance and thus lead to increased levels of this
methylxanthine. Drugs that activate hepatic microsomal enzymes, such as
cigarettes, marijuana, phenobarbital, and phenytoin, may lower theophylline
levels.
| (A) | pulmonary fibrosis |
| (B) | pleural effusion |
| (C) | small cell carcinoma |
| (D) | peritoneal mesothelioma |
| (E) | pleural plaques |
The answer is C. (Chapter 254.)
The explanation
for the correct response is:
Inhalation of asbestos fibers for 10 years or more may lead to interstitial
fibrosis that typically begins in the lower lobes and later spreads to the
middle and upper lung fields. This fibrosis is associated with a restrictive
pattern on pulmonary function testing. The chest x-ray shows linear densities,
thickening or calcification of the pleura (pleural plaques), and, in severe
cases, honeycombing. Exposure to asbestos also may cause exudative pleural
effusions. These effusions are often bloodstained and may be painful. The
diagnosis may be elusive if a careful occupational exposure is not obtained.
These effusions are benign, but affected persons may later sustain malignant
mesotheliomas of the pleura or peritoneum. Unlike pulmonary fibrosis, pleural
effusions and mesotheliomas may develop after brief exposures to asbestos,
often exposures of 1 to 2 years. Mesotheliomas are not associated with
cigarette smoking, but the combination of exposure to asbestos and cigarette
smoking has a multiplicative effect on the risk of development of lung cancer.
Exposure to asbestos increases the risk for both adenocarcinoma and squamous
cell (but not small cell) carcinoma of the lung; this suggests that lung
cancer screening may be useful in selected individuals.
| (A) | A 22-year-old male with known HIV infection who complains of shortness of breath and has diffuse interstitial infiltrates on chest x-ray |
| (B) | A 65-year-old male with a long history of smoking who has shortness of breath and right upper lobe collapse |
| (C) | A 33-year-old female with a history of acute myeloid leukemia complaining of severe dyspnea who is currently 4 months after an allogeneic bone marrow transplant and has a reticulonodular pulmonary infiltrate |
| (D) | A 50-year-old female with a heavy smoking history who currently complains of intermittent hemoptysis |
| (E) | A 28-year-old male with a history of acute myeloid leukemia who is currently 30 days after an allogeneic bone marrow transplant with a significant pulmonary hemorrhage and bilateral alveolar infiltrates on chest x-ray |
The answer is E. (Chapter 251.)
The explanation
for the correct response is:
The flexible fiberoptic bronchoscope is ideal for many clinical situations,
including those designed to determine many endobronchial pathologic states,
including tumors, granulomas, bronchitis, foreign bodies, and sites of
bleeding. Washing or infiltration of a higher volume of sterile saline (bronchoalveolar
lavage) can be used to detect abnormal cells or recover pathogens such as P.
carinii in patients with HIV infection. Brushing or biopsy at the surface
of an endobronchial lesion can enhance the recovery of cellular material or
tissue that can be very helpful in detecting neoplasms or infection. Pulmonary
hemorrhage can complicate a transbronchial biopsy if the patient is at risk
for a bleeding diathesis. Pneumothorax can occur if the forceps are too close
to the pleural surface. Because a rigid bronchoscope has a larger suction
channel and allows ventilation, this instrument is still useful for the
retrieval of foreign bodies and the suctioning of massive hemorrhages.
| (A) | wheezing |
| (B) | dyspnea on exertion |
| (C) | cough |
| (D) | hemoptysis |
| (E) | chest tightness |
The answer is E. (Chapter 254.)
The explanation
for the correct response is:
Pulmonary disease secondary to cotton dust exposure is one of the most common
occupational lung diseases. During the production of yarn for cotton, linen,
and rope making, exposure to cotton, flax, or hemp produces a host of
respiratory symptoms. Exposure to cotton dust (byssinosis) is characterized as
chest tightness toward the end of the first day of the workweek. Such symptoms
are associated with a significant drop in the forced expiratory volume during
the workday. Although most workers have no recurrence after the workweek, up
to 25 percent may have a progressive symptom complex consisting of recurrent
chest tightness, eventually leading to an obstructive pattern on pulmonary
function testing. The chest tightness appears to be due to bronchospasm, which
may be reversible with bronchodilators. The best treatment is a reduction of
dust exposure.
| (A) | bronchiectasis |
| (B) | non-small-cell lung cancer |
| (C) | Mycoplasma infection |
| (D) | viral pneumonia |
| (E) | pulmonary thromboembolism |
The answer is A. (Chapter 256.)
The explanation
for the correct response is:
Bronchiectasis represents an abnormal permanent dilation of the bronchi,
typically on the basis of chronic destruction and inflammation caused by
repetitive infection or other chronic insults. Many infectious agents,
including adenovirus, influenza virus, Staphyloccoccus aureus,
tuberculosis, and anaerobic infection, can each predispose a patient to the
bronchiectatic state. Problems of primary immune defenses such as
immunoglobulin deficiency, primary cilliary disorders, and cystic fibrosis
also can produce dilated bronchi. This anatomic problem leads to recurring
cough and purulent sputum production, frequently associated with hemoptysis
resulting from friable, inflamed airway mucosa. Repetitive bronchiectatic
episodes tend to produce increased problems. Physical examination is
nonspecific; however, the chest radiograph is frequently abnormal, and the
findings may include cystic spaces caused by saccular bronchiectasis or the
so-called tram track (parallel linear shadows) or rings (produced if the
inflamed thickened airways are seen in cross section). Treatment requires
elimination of the underlying problem (e.g., by immunoglobulin infusions),
improved clearance of tracheobronchial secretions, control of infection, and
the use of bronchodilators to reverse airflow obstruction.
| (A) | A 48-year-old male with chronic obstructive pulmonary disease and an FEV1 of 20 percent of the predicted value |
| (B) | A 50-year-old male with idiopthic pulmonary fibrosis,resting hypoxia, and a total lung capacity of 50 percent of the predicted value. |
| (C) | A 23-year-old female with primary pulmonary hypertension with a mean pulmonary artery pressure of 70 mmHg |
| (D) | A 23-year-old female with cystic fibrosis and an FEV1 of 20 percent of the predicted value |
| (E) | A
25-year-old male with an |
The answer is D. (Chapter 267.)
The explanation
for the correct response is:
Emphysema, either smoking-induced or resulting from
1-antitrypsin
deficiency, is the indication for almost 50 percent of all single-lung
transplants. It is important to determine the optimal lung transplant window
in which the patient has severe limitations secondary to his or her disease
but has not passed the point at which lung transplant surgery would be
dangerously complicated. Life expectancy of less than 2 years and severe
obstructive lung disease (FEV1 of less than 30 percent of the
predicted value) are required. Patients with pulmonary fibrosis must have
profound impairment of total lung capacity and resting hypoxia; those with
pulmonary hypertension need to be severely functionally limited and have
pulmonary artery pressures greater than 50 mmHg. Patients with cystic fibrosis
must also have severe limitations in expiratory capacity as well as
abnormalities in arterial blood gases. They are not candidates for single-lung
transplantation because of the risk of disseminated infection. Instead, they
require a bilateral lung transplant or a related donor bilobe transplant to
reduce the likelihood of disseminated infection. In each of the other
situations, single-lung transplantation can be performed with acceptable risk
and tangible benefit for the patient.
| (A) | S. pneumoniae |
| (B) | H. influenzae |
| (C) | Mycobacterium tuberculosis |
| (D) | Mycoplasma pneumoniae |
| (E) | Actinomyces |
The answer is E. (Chapter 255.)
The explanation
for the correct response is:
Microbial pathogens may enter the lung by several routes, including aspiration
of organisms that colonize the oropharynx, inhalation of infectious aerosols,
direct inoculation (e.g., from tracheal intubation or stab wounds), and
hematogenous dissemination from an extrapulmonary site. In a chronic
alcoholic, presumably with a higher likelihood of aspiration of oral contents,
one must seriously consider the presentation of an aspiration pneumonia caused
by anaerobic oral flora. Moreover, certain oral anaerobes, such as S.
aureus, S. pneumoniae serotype III, aerobic gram-negative bacilli,
oral anaerobes, M. tuberculosis, and fungi, produce tissue necrosis and
pulmonary cavities. H. influenzae, M. pneumoniae, and other type
serotypes of S. pneumoniae are less likely to cause cavities. Cavities
associated with M. tuberculosis do have air-fluid levels but are
typically in the upper lobe as a result of the fact that they require high
oxygen tension for optimal growth. By contrast, a cavity containing an
air-fluid level in a dependent, fully ventilated, fully draining
bronchopulmonary segment suggests that the culprit is an oral anaerobe. One
particular oral anaerobe, Actinomyces spp., can produce a chronic
fibrotic necrotizing process that can cross tissue planes to involve the
pleural space, ribs, vertebrae, and subcutaneous tissue with the eventual
discharge of sulfur granules.
| (A) | oral prednisone |
| (B) | oral cyclophosphamide |
| (C) | 4-week course of oral azithromycin |
| (D) | lung transplantation |
| (E) | bronchodialator therapy |
The answer is A. (Chapter 259. Hunninghack, Am J Respir Crit Care Med 151:915, 1995.)
The explanation
for the correct response is:
This patient presents with the classic history, physical findings, and
pathologic findings consistent with idiopathic pulmonary fibrosis. This is an
unrelenting interstitial lung disease which produces scarring and ablation of
alveoli with a concomitant restrictive lung pattern. If progressive and/or
unresponsive to therapy, the disease will lead to progressive loss of
pulmonary function and ultimately to right-sided heart failure. The primary
cause is unknown, although the pathophysiology clearly involves the activation
of alveolar macrophages, with secondary cytokine release causing alveolar
damage with associated fibrosis. Once the diagnosis is made, even at an
advanced stage, a trial of glucocorticoids is indicated. High-dose steroid
therapy for 8 weeks usually is initiated with gradual tapering if objective
improvement is noted. Cyclophosphamide may be useful in patients who are
unresponsive to glucocorticoids. The dose of cyclophosphamide should be
titrated to ensure that the total neutrophil count does not drop below 1000/
L.
Drugs such as penicillamine, cyclosporine, and colchicine, each of which could
potentially play a role in inhibiting macrophage-produced growth factors,
remain investigative. Although measures to prevent progressive restrictive
physiology include diuretics and oxygen for congestive heart failure, rapid
treatment of infection, and the routine use of prophylactic pneumococcal
influenza vaccine, in the situation of a patient who is in otherwise good
medical condition but has profoundly deranged pulmonary physiology secondary
to fibrosis, lung transplantation should be considered.
| (A) | Abnormal factor V |
| (B) | Abnormal protein C |
| (C) | Diminished protein C level |
| (D) | Diminished protein S level |
| (E) | Diminished antithromin III level |
The answer is A. (Chapter 261. Ridker, N Engl J Med 332:912, 1995.)
The explanation
for the correct response is:
Many patients who develop pulmonary thromboembolism have an underlying
inherited predisposition that remains clinically silent until they are
subjected to an additional stress, such as the use of oral contraceptive
pills, surgery, or pregnancy. The most frequently inherited predisposition to
thrombosis is so-called activated protein C resistance. The inability of a
normal protein C to carry out its anticoagulant function is due to a missense
mutation in the gene coding for factor V in the coagulation cascade. This
mutation, which results in the substitution of a glutamine for an arginine
residue in position 506 of the factor V molecule, is designated the factor V
Leiden gene. Based on the Physicians Health Study, about 3 percent of healthy
male physicians carry this particular missense mutation. Carriers are clearly
at an increased risk for deep venous thrombosis and also for recurrence after
the discontinuation of coumadin. The allelic frequency of factor V Leiden is
more common than are all other identified inherited hypercoagulable states
combined, including deficiencies of protein C, protein S, and antithrombin III
and disorders of plasminogen.
| (A) | Obstructive sleep apnea |
| (B) | Ankylosing spondylitis |
| (C) | Amyotrophic lateral sclerosis |
| (D) | Myasthenia gravis |
| (E) | Carotid body dysfunction |
The answer is E. (Chapter 263.)
The explanation
for the correct response is:
The hypoventilation syndromes are defined as disorders which yield to
hypercapnia (usually a PaCO2 in the range of
50 to 80 mmHg). The clinical manifestations of such a syndrome include
respiratory acidosis with a compensatory rise in the plasma bicarbonate
concentration and a decrease in chloride concentration. The hypercapnia leads
to an obligatory decrease in the arterial oxygen tension with subsequent
cyanosis and secondary polycythemia. Moreover, chronic hypercapnia can induce
pulmonary vasoconstriction which can eventually lead to right ventricular
failure. Problems of hypoventilation normally are exacerbated at night,
leading to worsened hypercapnia during sleep with subsequent morning headache
and daytime somnolence with eventual intellectual impairment. A polysomnogram
can distinguish whether the defect is in the metabolic control system (chemoreceptors
or brainstem initiating neurons) versus the neuromuscular system (brainstem
neurons, spinal cord, respiratory nerves) or in the ventilatory apparatus
(e.g., chest wall, lungs, airways) itself. Those with a central problem such
as higher CNS malfunction or chemoreceptor insufficiency have normal
spirometry, blood gases, and tests of voluntary hyperventilation. However,
they would have a markedly blunted response to hypoxia or hypercapnia.
Respiratory neuromuscular dysfunction that produces a decrease in the ability
to exhale would lead to an abnormal spirometric evaluation and also would make
it impossible for the patient to generate normal inspiratory and expiratory
muscle pressures against a closed airway. Those with problems with the
ventilatory apparatus, such as those which typically occur in obstructive
sleep apnea, would be able to generate adequate expiratory and inspiratory
muscle pressures and generally would have markedly abnormal blood gases (e.g.,
a widened arterial alveolar oxygen tension gradient).
| (A) | dyspnea |
| (B) | seizures |
| (C) | tetany |
| (D) | muscle weakness |
| (E) | clubbing |
The answer is E. (Chapter 263.)
The explanation
for the correct response is:
In all cases of chronic hyperventilation the mechanism involves an increase in
respiratory drive that may well be physiologic (e.g., chronic hypoxemia) but
can be detrimental because of the ensuing alkalemia. This disturbance in blood
pH can produce neurologic symptoms such as dizziness, syncope, and seizure
activity caused by cerebral vasoconstriction. The neuromuscular side effects
of chronic alkalemia can include paresthesia, muscle weakness (from
hypophosphatemia), and hypocalcemia-induced carpopedal spasm tetany. The
primary respiratory alkalosis can lead to central sleep apnea. The disorders
that most frequently lead to unexplained hyperventilation are pulmonary
vascular diseases such as chronic thromboembolism and anxiety. In patients who
have symptoms clearly secondary to hyperventilation, inhalation of a low
concentration of carbon dioxide can be helpful.
| (A) | A 33-year-old male with a heroin overdose |
| (B) | A 68-year-old male with an acute myocardial infarction and 2 h of hypotension |
| (C) | A 25-year-old male poststatus a gunshot wound, major volume loss, hypotension, and acute renal failure |
| (D) | A 21-year-old female with acute myeloid leukemia with gram-negative sepsis during induction therapy |
| (E) | A 45-year-old fireman with severe smoke inhalation injury and arterial PaO2 of 60 mmHg despite 100 percent FIO2 |
The answer is A. (Chapter 265. Milberg, JAMA 273:306, 1995.)
The explanation
for the correct response is:
The acute respiratory distress syndrome is a condition characterized by
hypoxemic respiratory failure resulting from noncardiogenic pulmonary edema.
Whatever the initial insult, the final common pathway of diffuse lung injury
represents a cascade of cellular events that are associated with cytokine
production by inflammatory cell activation and the production of inflammatory
mediators which damage alveolar and pulmonary endothelial cells, leading to
increased vascular permeability and loss of surfactant production by type II
pneumocytes. When the injury is severe, mechanical ventilation is required.
Despite the critical involvement of the inflammatory response in the
generation of acute respiratory distress syndrome, glucocorticoids have shown
no benefit in the treatment of this condition, except in childhood
meningococcemia and P. carinii pneumonia. Although mortality rates for
acute respiratory distress syndrome range from 50 to 70 percent, it is likely
that improvements in therapy are reducing this dire outcome. Age greater than
65 years, multiorgan system failure, sepsis, and severe gas exchange
disturbances are all negative prognostic factors. However, those with
uncomplicated overdoses tend to have a relatively improved outcome. Those who
survive are likely to return to the preexisting level of function.
| (A) | thoracostomy placement for barotrauma-induced pneumothorax |
| (B) | prophylactic antibiotics |
| (C) | reduce inspired oxygen tension |
| (D) | hemodynamic monitoring |
| (E) | sucralfate |
The answer is B. (Chapter 266.)
The explanation
for the correct response is:
Enterotracheal intubation with positive-pressure mechanical ventilation may
save lives in multiple settings associated with respiratory failure. This
highly invasive technique has both direct and indirect effects on many organ
systems. Lung complications include barotrauma (especially in the setting of
the use of high levels of positive end-expiratory pressure), nosocomial
pneumonia, oxygen toxicity, tracheal stenosis, and deconditioning of
respiratory muscles. If a clinically significant pneumothorax occurs (e.g.,
associated with hypoxemia, decreased lung compliance, and hypotension),
placement of a thoracostomy tube is required. While nosocomial pneumonia is
common in patients intubated for more than 72 h because of aspiration of oral
pharyngeal contents caused by leaks around the endotracheal tube cuff, the use
of prophylactic antibiotics is not indicated. Moreover, it can be difficult to
distinguish between colonization and true infection, since virtually all
ventilated patients can be shown to have potentially pathogenic bacteria in
the lower respiratory tract. Oxygen toxicity, which may result from the effect
of oxygen free radicals on lung tissues, needs to be managed with the
conservative use of inspired oxygen tensions. Right-sided heart hemodynamic
monitoring often is required to provide optimal levels of intravascular volume
replacement in these patients. It is important to maintain adequate venous
return, but increased lung water also must be avoided. Mild to moderate
cholestasis and stress ulceration are two important gastrointestinal effects
of mechanical ventilation. If the total bilirubin values are greater than 4.0
mg/dL, it is likely that a cause of liver damage other than intubation is
operative. Prophylactic therapy with sucralfate or an H2-receptor
antagonist is helpful in preventing stress-related ulcers in intubated
patients.
| (A) | overdiuresis |
| (B) | benzodiazepines |
| (C) | a PCO2 too high before extubation |
| (D) | hypokalemia |
| (E) | hypothyroidism |
The answer is C. (Chapter 266.)
The explanation
for the correct response is:
There are many reasons why patients fail removal from assisted ventilation.
Sedatives, which are commonly prescribed earlier in the hospital stay for
agitation or sleep, may not have been discontinued or metabolized and could
contribute to impairment of respiratory drive. Persistent secretions that
could be removed by suctioning also might contribute to the problem. A very
important issue is maintenance of a continued drive to breathe. The central
respiratory centers are sensitive to blood pH and will promote ventilation
when sufficient acidosis (greater than that normally noted in a bronchitic
patient with chronic CO2 retention) ensues. Thus, creation of
metabolic alkalosis with diuretic therapy or running the assisted minute
ventilation too high (i.e., lower PCO2 and higher pH than normal
for the patient) could account for failed extubation. Neuromuscular weakness
caused by diuretic-induced hypokalemia, malnutrition, and occult
hypothyroidism are potential factors leading to difficulty in independent
ventilation and trouble in weaning.
| (A) | lowered mixed venous PO2 resulting from heart failure |
| (B) | perfusion of atelectatic areas |
| (C) | increased dead-space ventilation in the area of vascular occlusion |
| (D) | perfusion of areas poorly ventilated because of airway constriction |
| (E) | inadequate time for oxygen diffusion secondary to a reduction in the capillary bed |
The answer is A,B,D. (Chapter 261.)
The explanation
for the correct response is:
Hypoxemia occurs commonly after massive pulmonary thromboembolism, although
normal arterial oxygen tension does not exclude the diagnosis. The most
important mechanism producing hypoxemia in this setting is an increase in
venous admixture caused by continued perfusion of poorly ventilated areas.
Ventilation may be decreased by atelectasis or by airway constriction in
response to the release of bronchoactive mediators. A fall in cardiac output
that produces a low mixed venous PO2 can
increase the effect of venous admixture. Increased dead-space ventilation
would not be a cause of hypoxemia.
| (A) | Emphysema |
| (B) | Sarcoidosis |
| (C) | Cystic fibrosis |
| (D) | Fracture of the cervical spine |
| (E) | Kyphoscoliosis |
The answer is A,C,D. (Chapter 250.)
The explanation
for the correct response is:
The volume remaining in the lungs at the conclusion of a complete forced
expiration is termed the residual volume and can be determined either
by the body plethysmography or by helium dilution methods. At the residual
volume there is a balance between the intrinsic outward recoil of the chest
wall and the force maintained by the respiratory muscles to decrease lung
volumes further. Therefore, increases in the residual volume can result from
the functionally weak musculature of the chest wall that might be observed in
neuromuscular disorders that affect the ability to expire forcefully (Guillain-Barré
syndrome, muscular dystrophies, cervical spine injury). Furthermore, diseased
airways will collapse at low lung volumes, preventing further emptying and
also producing an abnormally high residual volume. Thus, any condition in
which airway obstruction plays a major role (chronic bronchitis, emphysema,
asthma, cystic fibrosis) may be associated with increased residual volume. By
contrast, pulmonary parenchymal disease (e.g., sarcoidosis) produces normal
expiration and reduced lung volumes. If inspiratory dysfunction is the primary
chest wall problem (as in kyphoscoliosis and obesity), residual volume will be
relatively unaffected or slightly decreased.
| (A) | measurement of lung water |
| (B) | measurement of protein concentraton in edema fluid |
| (C) | measurement of pulmonary artery wedge pressure |
| (D) | measurement of lung compliance |
| (E) | calculation of the alveolar-arterial PO2 difference |
The answer is B,C. (Chapter 265. Kolleff, N Engl J Med 332:27, 1995.)
The explanation
for the correct response is:
The adult respiratory distress syndrome (ARDS) is a clinical triad of
hypoxemia, diffuse lung infiltrates, and reduced lung compliance not
attributable to congestive cardiac failure. This syndrome's many causes
suggest its complex pathogenesis. However, the pathologic outcome is the same:
an increase in lung water caused by an increase in alveolar capillary
permeability. This noncardiogenic pulmonary edema is identical to congestive
cardiac pulmonary edema in its effect on the mechanical properties of the lung
and on gas exchange. Just as in cardiac pulmonary edema, the increase in lung
water associated with ARDS produces interstitial edema and alveolar collapse,
and so the affected lung becomes stiff and the alveolar-arterial oxygen
tension difference widens. Unlike cardiac edema, however, the increase in lung
water in ARDS occurs as a result of an increase in alveolar capillary
permeability and is not due to an increase in hydrostatic forces. Edema fluid
in ARDS therefore often contains macromolecules (such as serum proteins), and
measurement of pulmonary artery wedge pressure is normal or low. In clinical
practice, determination of pulmonary artery wedge pressure is the most helpful
discriminant between ARDS and cardiac failure.